服务热线:0316-2021185       在线咨询
您当前位置: 首页 > 济民品牌 > 济民课堂

济民品牌
JIMIN BRAND

牙齿畸形,凸嘴该如何矫正?
时间:2022-05-15 点击:
有很多小伙伴发照片来问小编:我的嘴巴很凸,脸歪,是不是需要做正颌手术?但是小编一看照片,明明就是牙齿的问题,根本不需要做正颌手术!其实很多小伙伴都分不清自己是“骨性不对称“还是“牙性不对称”今天就给小伙伴们科普一下,教大家如何判断!


骨性不对称的表现

01 偏颌

偏颌主要是指下颌左右两侧不对称,有的人还会出现下巴偏斜的情况。严重的时候会造成双侧颜面严重不对称,影响咀皭,发音等。

牙齿畸形,凸嘴该如何矫正?


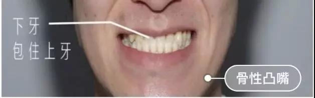
02 地包天

下颌前牙晈到上颌前牙的外面,除美观问题外,会造成咀嚼、发音等功能障碍,若属骨性颌骨不正常导致的反合需要正颌手术来治疗。

牙齿畸形,凸嘴该如何矫正?


03 龅牙

龅牙可分为牙性与骨骼性龅牙。咬牙时,上前牙切端至下前牙唇面的最大水平距离超过3mm,上牙明显突出。大部分的龅牙小伙伴可以正畸治疗解决,严重的骨性则需要做正颌矫正

牙性不对称的表现

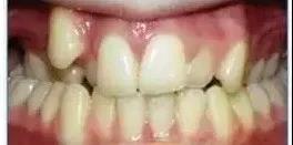
01 牙列拥挤

举个例子,一个三人的汽车后座,硬要坐5个人,大家只能错开坐,表现在牙齿上就是凌乱拥挤。还有的人因为是智齿没有长好,挤压前面的牙齿,也会将牙齿挤歪。

牙齿畸形,凸嘴该如何矫正?


02 对刃

正常人的牙齿是上门牙覆盖下门牙2mm。如果前牙牙齿的切端(就是门牙牙冠的切咬东西的部位)与切端接触,刚刚碰上,那就是对刃。

03 牙列稀疏

牙弓过大,牙齿过小或过少(天生缺牙或者后天掉落),导致排列太宽松,零零散散。最直观的表现就是牙缝大。

牙齿畸形,凸嘴该如何矫正?


大部分人都属于齿性不对称,只有特别严重的骨性不对称才需要做正颌,总之正颌手术一定要慎重!所以,现在拿出镜子,对照着上面的参考图看看,自己是属于骨性不对称还是牙性不对称?如果还是不清楚自己到底需不需要矫正,可以去医院让医生帮你看下哦~

上一篇:牙齿矫正原理,一根弓丝的力量有多强大?!
下一篇:蛀牙应该怎么治疗?
以上信息仅供参考,不作为诊断及医疗依据。
更多牙齿健康问题,您可以通过电话(0316-2021185)或者在线咨询方式和我们取得联系。

济民口腔是一家集口腔种植、牙齿正畸、美学修复、口腔美容、口腔保健、儿童牙科为一体的现代化专业口腔医院。济民口腔成立于1998年,20年风雨历程、励精图治、努力奋进、开拓创新,现已拥有二级专科医院一家,口腔疾病防 治所一家,口腔门诊部一家。

  • 在线咨询
  • 0316-2021185
    18730692647
  • 新华路院地址:廊坊市广阳区新华路74号(万达北200米)
    盛世院地址:廊坊市广阳区丰盛路盛世嘉华小区S4栋
    西小区院地址:廊坊市安次区永兴路1号(德仁集团底商)
    开发区院地址:廊坊市开发区祥云道25号建设银行东侧
    金光西院地址:廊坊市安次区金光西道与育才路交口东南