
0316-2021185
18730692647 牙周病是什么?
有哪些表现症状?
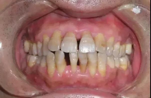
牙周病有什么危害?
为什么这么多人患上?
别急,小编会给你说清楚
严重的牙周病,牙齿会掉落,炎症会发作
最后导致你想种牙都种不上
因为牙槽骨遭破坏,牙周炎症在作怪
你可能还不知道,在我国
约85%的成人都患有不同程度的牙周疾病
而牙周病,
就是导致牙齿脱落的主要原因之一
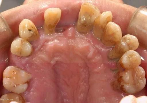
晚期牙周炎的时候,
牙齿就会因为过度松动而脱落
同时伴随的是牙槽骨完全被破坏,
牙周炎症严重
所以当这类人想要种牙的时候
牙齿的种植的成功率并不高
所以说,不是所有的人都适合种牙
而要想牙顺利种好,
牙周必须健康才行
目前医学上解决缺牙问题的最佳方案,
就是种植牙
种植牙益处无需多说,
种植体能与牙槽骨完美结合
让种植后的牙齿使用起来与原生牙齿一般
这新时代让牙齿“重生”的绝佳方式
有些缺牙的人却不能享受其中
对他们来说,无异于另一场打击
牙周病是一种慢性进展的疾病
牙周组织一旦遭到破坏是不可逆的
预防和早期发现、早期治疗非常重要
