
0316-2021185
18730692647 全景片是什么?
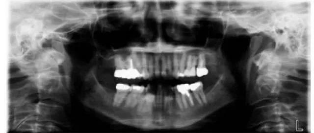
全景片就是可以在一张胶片上可以完整、清晰地显示上颌骨、下颌骨全貌,上下颌牙列情况,牙槽骨情况,能清晰显示上颌窦腔、窦壁、窦底情况,以及颞颌关节情况,并对颌骨周围疾病的诊断提供帮助。
因为全景片可以精确测定牙齿倾斜角度、牙周软组织情况、牙根情况、牙槽骨质情况,解剖形态的精确测量为医生术前的诊断分析与设计提供全景样图像依据,口腔医生借此能更好地为患者设计治疗方案。
为什么医生总让人拍口腔全景片?
拍摄全景片是口腔治疗之前很重要的一个检查过程,医生通过全景片可以观察到牙齿的健康状况,是否有隐形龋齿、埋伏阻生牙、多生牙、牙槽骨吸收、牙龈萎缩、口腔内是否长有瘤体等。在做牙齿种植、牙齿矫正、牙齿修复、智齿拔除等之前,均需要拍摄口腔全景片。
拍全景片到底有什么用?
不信?这有几种常见情况!
