
0316-2021185
18730692647 一位朋友问,为什么他的牙齿会变色,明明自己以前也是可以为“明眸皓齿”代言的,现在却大相径庭。牙齿变得黄黄的,不要说张嘴笑了,就连在他人面前说话的勇气都没有了。
今天就给大家分下一下,牙齿变色常见的原因有哪些?
随着年龄的增长,几乎每个人牙齿都会出现变色或者着色的情况。事实上,牙齿变色虽然跟年龄、饮食、环境等等有一定的关系,但是更重要的是受一些常见的牙齿疾病的影响。到底引起牙齿变色常见的原因有哪些呢?下面我们就一起来看一下吧。
牙齿变色着色随着时间推移会表现的越来越明显,以致严重影响个人的外在形象,所以一定要究其原因,在日常生活中注意预防。
牙齿变色常见的原因可以分为以下几种:
1、氟牙症。此症具有地域性发病的特点,主要是因为饮用水中氟含量过高所致。轻度者牙齿表面的牙釉质浑浊不透明,呈白垩色;中度者牙面呈黄色或棕黄色不规则形斑块;重症者除有色泽改变外,还伴有牙面釉质缺损。
2、釉质发育不全。牙齿在发育过程中,表层的釉质因缺乏钙、磷和维生素A、D等物质;或受有害因子的作用而造成的牙齿发育障碍。轻者牙齿表面的釉质呈不透明的白垩扑色,疏松粗糙,可因食物染色而呈黄褐色。重症者牙面釉质可出现实质性缺损,呈窝状或带状缺如,甚至无釉质覆盖。
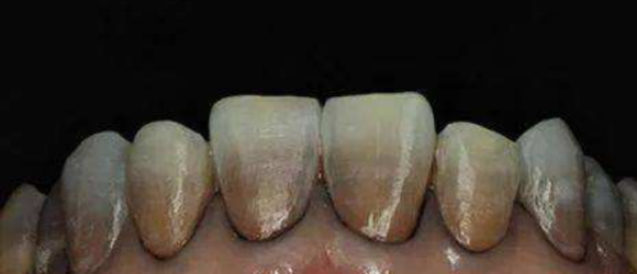
3、四环素染色牙。在牙齿发育期间,特别是8岁以下儿童或孕妇,如果服用四环素类药物(如四环素、土霉素、强力霉素等),则易引起牙齿变色,称为四环素染色牙。这是因为四环素类药物可与牙齿组织中的钙离子结合形成稳固的四环素钙盐,随年龄增长,变色会逐渐加重,约在18岁以后趋向稳定。根据着色深浅,临床可分四度,一度四环素牙其牙面呈均匀的乳黄或淡黄色;二度者牙面呈均匀的深浅不等的棕黄或灰黄色;三度者牙面呈均匀的深浅不等的纯灰、灰褐色或灰黑色;四度者牙面呈灰褐或灰黑色外,可合并釉质发育不全,伴有牙体组织缺损。
4、乳光牙。为常染色体显性遗传性疾病,较少见。患牙有的紫兰色改变,暴露的牙本质光亮,呈半透明的黄褐色,牙齿易磨损,重症者呈残根状。
5、龋齿。俗称虫牙或蛀牙,是由于在细菌的参与下,糖类食物酵解产酸而腐蚀牙体,久而久之造成牙齿变软,牙组织崩解,形成黑色龋洞。
6、死髓变色牙。多因深龋细菌感染或直接暴力打击,牙齿意外折断,导致牙髓损伤坏死而变色。
