
0316-2021185
18730692647 随着医疗技术的发展,牙齿矫正不再是单一的"铁齿铜牙"形象。隐形矫正,作为时下国际口腔正畸领域中的一项高科技技术,逐渐被大众接受,成为矫正新宠儿。但即便如此,还是有不少人选择金属矫正。那金属和隐形矫正的区别是什么?我该选择哪种?
一、从美观性来看
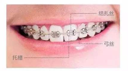
1.金属矫正是用金属托槽和钢丝共同作用的矫正形式,也就是我们平常说的"钢牙"。基本上不用考虑美观。
2.隐形矫正采用"隐形牙套"的方式,佩戴起来几乎不会被人察觉,不影响社交。正因如此,它成了明星矫正的最佳选择。
二、从安全性来看
1.金属矫正的材料是金属,所以容易对牙齿造成挤压,引起牙齿疼痛及酸胀现象。刚刚佩戴上时,还会有钢丝划破口腔的现象。建议用保护蜡润滑。
2.隐形矫正进口隐形矫正系统,矫治器稳固小巧、贴合牙齿,不会威胁到患者口腔安全。
三、从时间来看
1.传统的牙齿矫正过程中,随着患者牙齿的移动,需要不断逐渐加力,逐步调整以达较佳正畸效果,该漫长过程需要持续1—2年。
2.说实话,隐形矫正的时间有很大弹性。因为隐形套可以自行摘戴,如果你按照要求佩戴,矫正治疗时间可能比传统矫正技术减少1/2的时间,反之,如果你不配合,不仅矫正周期延长,效果也会打折扣。
但有一点需要提醒:不管是金属矫正和隐形矫正,正畸结束后都需要戴2年的保持器。
四、从适应人群来看
1.金属矫正作为矫治器的元老,几乎适应所有的正畸情况。
2.隐形矫正虽然效果好,优点突出,但并非适用于所有人,主要适用在轻中度牙齿畸形。
五、从方便性来说
1.从戴上金属矫治器起,意味着你与骨头等硬性食物隔绝,能不碰就不碰,否则托槽脱落会延长矫正周期、效果打折扣。
2.隐形矫正不影响吃美食,因为吃饭时需要摘下牙套。
六、从配合度来看
1.金属矫正需要医生粘合、医生调整,脱落等只能到医院修复。正因如此,矫治效果比较好掌控。
2.隐形牙套可自行摘取,所以对于缺乏自觉性的人来说,并不是一个好选择。
