
0316-2021185
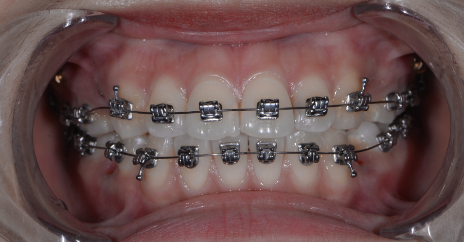
18730692647 不拔牙也可以正畸牙齿吗?
“能不拔牙最好不拔牙”是牙齿正畸方案的设计原则,但并不是说:“不拔牙就能矫正牙齿”。拔牙矫正在口腔正畸的治疗中是很常见的,大约60%的患者需拔牙矫正,而即使不矫正牙齿,多数人智齿位置不好,影响牙周及前牙健康也要拔除。拔牙矫治在正畸学发展的历史中,经受住临床实践的考验。
有些病例如牙齿严重拥挤,前突是一定要通过拔牙矫正的。若不拔牙,不但畸形不能得到矫正,一些费尽周折排挤的牙齿很快会回到原来畸形的样子。拔除牙齿后有了空隙,这些空隙一般不用镶牙,矫治完成后,空隙大多会完全关闭。由于患者和家长对拔牙的犹豫,常常干扰了医生对正畸方案的确定。

