
0316-2021185
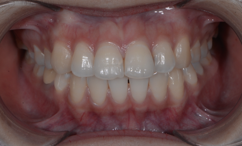
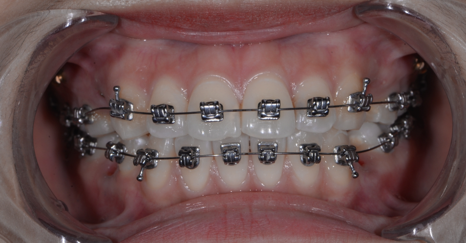
18730692647 牙齿前突的危害是什么?
1、引发呼吸道疾病 牙齿前突患者由于长时间无法完全闭合口腔,容易引发呼吸道疾病,而牙齿前突患者,还伴有口干性口臭。 2、引起营养不良 牙齿前突的患者可能因为牙齿前突会干扰正常的咀嚼,从而导致患者产生营养不良的症状。 3.牙齿前突矫正效果好吗? 传统的牙齿前突矫正只能改变牙列不齐的问题,如果用于骨性牙齿前突,会有反弹现象,目前牙齿前突矫正由于其技术精密性,突破成年人的因颌骨畸形无法使用牙套矫正或者传统正畸技术矫正。牙齿前突矫正可以恢复正常的咬合关系,协调牙颌面的比例关系。


