
0316-2021185
18730692647 美观整齐的牙齿在容貌中占据着相当重要的位置,因此有“齿白三分俏”的说法。另外,牙齿的功能是要帮助嚼碎食物,帮助胃肠道消化,吸收营养成分等。因此牙齿缺损不仅对我们的形象有影响,也严重危害到我们的饮食和身体健康。
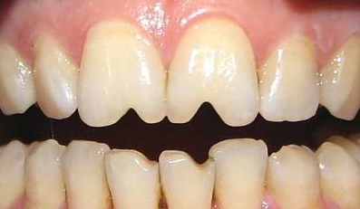
所谓瓜子牙就是前牙的两颗大门牙因为长期咬坚果类的东西会有几个浅窝,弧形缺损,不太平整,就形成了传说中的瓜子牙。
瓜子牙修复方法如何选,需以缺损情况而定
♦轻微小面积瓜子牙缺损——补牙
如果因吃坚果等引起的轻微牙齿小面积缺损,可以通过补牙的方式来恢复牙齿形状。
口腔医院采用目前较为先进的美国3M纳米树脂补牙,能保障填充体外形的修复、咀嚼功能的恢复,防止牙齿磨损继续严重,深得众多顾客的信赖,是补牙的优先材料之一。
♦瓜子牙长期不治缺损面积过大——嵌体修复
如果瓜子牙长期不治缺损面积过大,但是还没有损伤到牙神经时,则可以采用嵌体充填。
嵌体充填流程:去除缺损内腐质——取模——根据缺损的大小设计制作充填的氧化锆形状——粘结。
♦瓜子牙理想修复方法——烤瓷冠或美牙冠修复
瓜子牙是因为尖壳类食物过度磨耗切牙切缘牙釉质,一旦发现有瓜子牙,最好立即停食尖壳类食物,免得瓜子牙的窝越陷越深,会严重的影响形象和美观,这种情况应该采用烤瓷牙或美牙冠的方式,对牙体缺损的牙齿进行修复。
口腔智能美牙冠具有美牙不拔牙,时间短,牙齿坚固,生物相容性好,牙龈不会出现黑线等优点。可即刻解决牙齿缺损问题,治齿、矫齿、美齿一步到位,流程透明,让美牙的过程看得见,更加放心。
