
0316-2021185
18730692647 
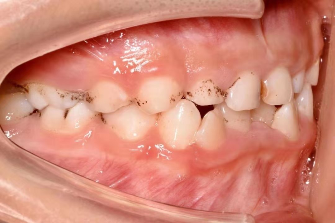
给大家科普了牙科小知识也有一段时间了,有小伙伴知道上图的孩子牙齿存在什么问题么?龋齿?牙垢?……这个问题想必很多家长们都遇到过,困惑过,那么今天就详细的给大家解答一下!
小朋友牙齿上这些黑呼呼的东西其实是“色素”。儿童一般在2-6岁,牙齿就会开始有大量的软垢和色素。如果放任不管,就会发展成为龋齿威胁孩子的口腔健康。
像下图,黄黄的部分就是软垢,黑黑的就是色素,是一种色素沉积。
孩子牙齿表面并不是光滑的,食物的残渣、色素在牙齿不光滑的凹槽处极易沉积,常规刷牙并不能清洗干净这些残渣色素,长此以往,牙齿上就会产生这些黑色(黄色)斑点,残留黑色素。龋齿、黑色素沉积如此相像,家长们又应该如何区别二者呢?
龋齿:是牙菌斑已经侵蚀到牙齿内部,保护层遭受到破坏,牙体受损。
色素沉积:仅在牙齿表面形成污垢,保护层还没有被破坏。
(龋齿)
虽然色素沉积不是蛀牙,但二者是递进的关系。色素牙垢里存在细菌,如果放任不管,可是极其容易导致龋齿的发生哦。
饮食结构,频繁进食含色素食物或饮料
食物色素、糖分和牙齿的接触时间越长,越容易造成色素沉积。孩子们对蛋糕、糖果、饮料等甜食不加节制,口腔清洁马虎,就会极易导致色素沉积、产生软垢残渣。
刷牙习惯,刷牙不认真或错误刷牙
药物原因,进食中药药剂、补铁剂等色素药物
孩子因为体质营养原因,摄入色素药物,形成易于色素沉积的菌群环境,导致黑色素。
儿童洗牙
不要认为只有成人才可以洗牙,小孩子也是可以的哦。在国外,小朋友大约从3岁左右(孩子可以配合牙医治疗的时候),就开始坚持每半年定期洗牙了,只不过儿童洗牙和成人洗牙的手法有所差异。
2-6岁的儿童很少有牙结石,只是软垢和色素较多,牙医会用非常柔和的低速毛刷或抛光方式去除,过后还会使用牙线棒对孩子的每个牙缝做清洁。
窝沟封闭
小朋友的牙齿表面有许多细小的裂隙和窝沟,容易藏污纳垢,刷牙也较难清洁彻底。窝沟封闭的原理是在牙齿窝沟内涂上一种对人体无害的树脂,经固化后如同给牙齿穿上了一层保护衣。防止黑色素的过度沉积,导致菌斑的不断侵蚀,产生龋齿。
涂氟保护
乳牙的牙釉质矿化程度低,对黑色素沉积防御能力较弱。可以带着孩子去牙科给牙齿涂上一层保护漆氟化物,抵抗“糖衣炮弹”的威胁。
